文/內湖國泰診所復健科主治醫師王寧儀

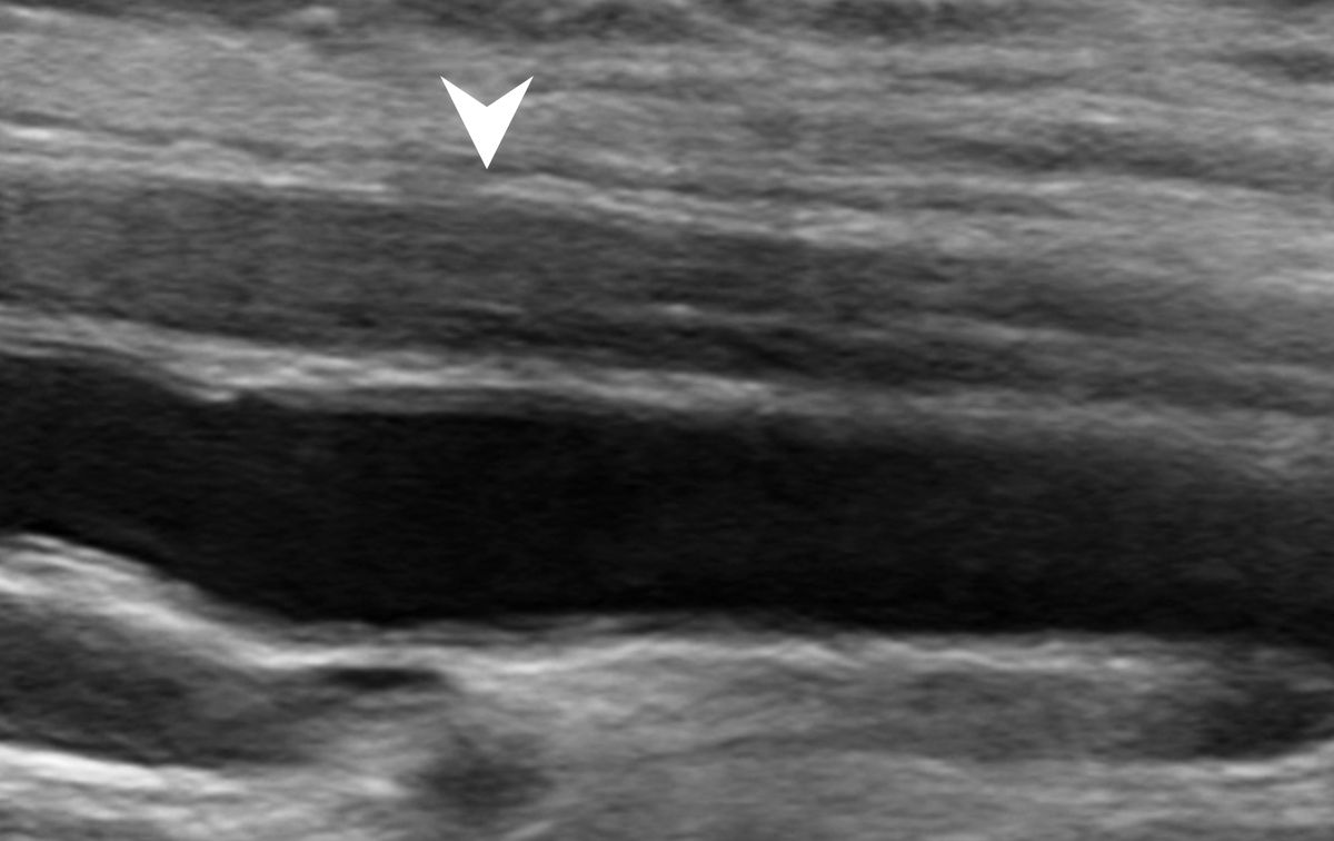
圖:超音波圖示下腫脹之神經。
45歲的陳小姐最近幾個月發現自己的右手又麻又痛,麻痛的範圍遍及整個手掌,主要分布在右手第一指到第三指之間,麻痛的現象到晚上時特別明顯,甚至麻到連睡覺都睡不好,而且合併開始出現手使不上力的情況,感覺手部活動較之前不太靈活。
陳小姐一開始先到神經內科就診,經過詳細的檢查,診斷為腕隧道症候群,乃因為正中神經在經過手腕處被上方韌帶壓迫所導致。經轉介到復健科接受治療。復健科醫師透過超音波仔細檢查發現,陳小姐的正中神經在通過手腕橫韌帶處呈現神經腫脹損傷之情形。
診斷確認後陳小姐開始接受治療,一開始接受復健儀器治療及肌力訓練,雖然麻痛症狀有漸漸緩解,但麻痛、無力、不靈活的症狀還是持續地困擾生活,覺得治療效果有些差強人意。
再次回診評估時,與醫師討論後,陳小姐接受了超音波導引「神經解套注射」。藉由注射葡萄糖水分離神經與鄰近組織解除神經壓迫,改善神經腫脹及發炎。陳小姐在接受兩次神經解套注射的治療後並搭配積極的復健治療,手部麻痛的症狀有了大幅的改善,且手部肌力由原先4分進步成滿分5分的狀態。整體症狀已經不再困擾日常生活了。
像陳小姐這樣因神經損傷而引起肢體麻木症狀的病人不在少數,舉凡常見的神經壓迫:在上肢有腕隧道症候群、尺神經病變、橈神經病變等,在下肢則常見引起小腿外側疼痛的總腓神經壓迫、或坐骨神經壓迫等。這些病症皆可以藉由神經解套注射治療達到良好的療效。
何謂超音波導引「神經解套注射」?
神經解套注射,英文名nerve hydrodissection。顧名思義乃藉由注射麻醉止痛藥、生理食鹽水、低濃度葡萄糖水或自體血小板(Platelet Rich Plasma,PRP),將神經與周圍組織、筋膜或鄰近結構分開。解除神經壓迫,改善神經的血流供應,達到穩定神經、改善神經發炎之作用。此技術由美國肌骨超音波專家Thomas B. Clark 所發明。臨床上復健科醫師會在超音波的導引下進行神經穩定解套注射,精準地將低濃度葡萄糖水等藥劑注射至神經病灶周圍,解開神經壓迫之處,使疼痛獲得改善。

圖:利用超音波導引「神經解套注射」精準地將藥劑注射到受損神經處。
「神經解套注射」可以治療哪些病症?
但凡神經受到壓迫、夾擠、或拉扯造成之損傷皆可處理。常見的適應證包括腕隧道症候群、尺神經壓迫、網球肘、部分特定五十肩(上肩胛神經壓迫)、坐骨神經痛、總腓神經壓迫之小腿外側疼痛、大腿前外痠痛(股外側皮神經壓迫)、腳踝扭傷常合併之淺腓神經壓迫等。
患者如何知道自己的症狀是周邊神經擠壓損傷造成的?
神經受到擠壓會引發疼痛、針刺感、麻木、感覺異常、緊繃感,嚴重甚至會使關節活動度受限,也可能進一步產生肢體無力、手腳不靈活的症狀。此外,神經造成的疼痛通常很難明確定位出確切一個位置,有時疼痛甚至會跑來跑去。
當出現以上症狀建議病患尋求專業復健科醫師的協助。醫師可藉由理學檢查在特定神經分布區域找到因為神經擠壓而產生的壓痛點。也可以經由超音波檢查確認神經是否因為擠壓、拉扯而出現腫脹發炎的狀況。
接受「神經解套注射」治療,需要注意什麼?
神經解套注射常見的副作用為注射後局部短暫且輕微的疼痛、酸脹不適感、僵硬、出血或瘀青。若患部為開放性傷口、正處於急性感染發炎的狀態或為癌症、遺傳疾病、多重內科疾病導致之神經損傷,則不適合進行此種治療。
結語
神經損傷是許多慢性疼痛的原因,這種因神經擠壓、拉扯造成的神經發炎無法單靠一般口服消炎止痛藥來解除,因此患者往往長期吃止痛藥而效果不彰。藉由超音波導引「神經解套注射」精準地將藥劑注射到病灶處,鬆解開受壓迫之神經,使受損的神經漸漸恢復原有的功能,也使惱人的麻痛症狀獲得緩解。












