好醫師新聞網記者周書靜/台北報導

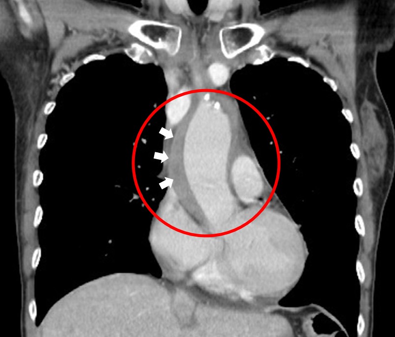
影像呈現升主動脈壁內血腫/圖:臺北慈濟醫院提供
急性主動脈症候群的表現,多半是撕裂般胸痛,伴有血壓飆高、胸悶、冒冷汗、下肢無力、暈眩,甚至昏迷等症狀,有50%的病患在48小時內死亡,91%會在6個月內死亡。高血壓、先天主動脈狹窄、懷孕期、胸部曾經外傷,或是某些罕見疾病,如馬凡氏症候群患者,都是急性主動脈症候群高風險族群。一旦確診,緊急外科手術的介入治療,是唯一讓病患存活的治療方式。
平時工作壓力大、作息不規律的五十五歲王女士,疏於留意身體狀況,因持續三天前胸穿透後背的撕裂性胸痛,至台北慈濟醫院急診,檢查發現收縮壓高達210毫米汞柱,從胸部電腦斷層掃描看到升主動脈被一圈血塊包圍,最厚處約有1.5公分,但未發現明顯的剝離破口與夾層,診斷為「升主動脈壁內血腫」(Intramural hematoma,IMH);經藥物積極降壓後,追蹤血腫仍未改善,緊急進行升主動脈置換手術,術後兩周王女士康復出院,穩定門診追蹤,無任何後遺症。
臺北慈濟醫院心臟血管外科徐展陽醫師指出,急性主動脈症候群中常見的升主動脈剝離,往往肇因於長期未控制的高血壓、血管本質硬化或其他遺傳性因素,使得內膜破裂,血液從內膜流出到血管壁,讓主動脈的管腔一分為二,進而由破裂處順行或逆行性剝離,各器官供血量因而不足,全身功能幾近停擺,有極高的死亡風險。
徐展陽說,升主動脈剝離病患中約有10%到20%的表現為非典型主動脈剝離,如升主動脈壁內血腫,成因是血管外壁的小血管破裂,在升主動脈外圍形成血腫包圍。
文獻指出,升主動脈剝離的患者約10%的病例可自行痊癒,但亦極有可能轉變成典型的剝離、主動脈瘤或破裂出血。徐展陽醫師提到,這類非典型主動脈剝離病患在電腦斷層掃描檢查時,往往不容易找到明確的剝離破口、夾層及真假腔病徵;且一部分這類病患在積極調降血壓後症狀消失,生命徵象趨穩,可能就以為自己脫離危險,而錯失治療先機。
徐展陽強調,升主動脈壁內血腫這類的非典型主動脈剝離,治療重點在於影像密集追蹤與觀察,有些病患會在後續電腦斷層追蹤中,發現血管壁的血塊不但未消失,反而增厚,且兩側胸水明顯增加,症狀上也許覺得呼吸愈來愈費力,都是需緊急進行手術的適應症,最新的醫療指引中明確指出,升主動脈壁內血腫,應比照主動脈剝離,緊急進行手術。
過去認為若血腫不大、降壓後症狀改善,升主動脈壁內血腫或許可以保守藥物治療,但也有案例顯示,因未即時處理,而進展成為真正的主動脈剝離,因此只以藥物治療仍有高度危險性,不得不慎,因為魔鬼可能藏在偽裝的變形中。徐展陽醫師提醒,若屬於上述高風險族群,或是有撕裂般胸痛等相關症狀出現,切勿拖延,應趕緊找專業醫師診斷治療。












