好醫師新聞網 - 煙槍心梗動脈全塞住 葉克膜建功搶回一命

2021-12-24 13:31:53

好醫師新聞記者王志成/台中報導

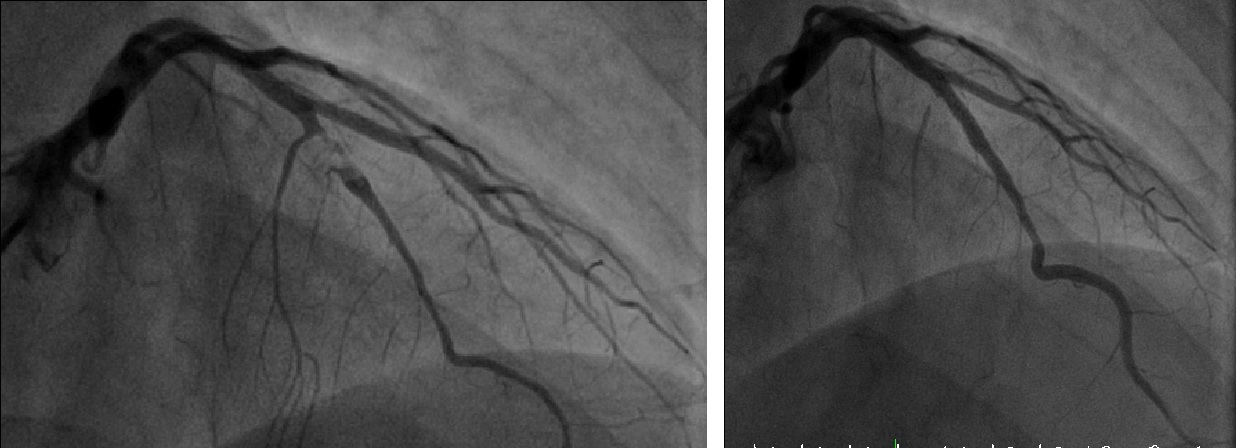
圖:患者心梗治療前(左)、後(右)對照。


57歲鍾姓男性患者,過去一直都很健康也無三高疾病,但有一天一包的抽菸習慣,上個月在公司開會時突然心跳停止昏倒會場,同事立刻進行心肺復甦術(CPR),救護車到場先後進行兩次自動體外心臟電擊(AED)去顫後仍無法恢復脈搏,七分鐘後患者送抵童綜合醫院急診室,余宣宏醫師接手CPR並施予強心藥注射,終於在第三次去顫術後,病患恢復呼吸心跳,心臟科醫師一看心電圖就判斷為急性心肌梗塞合併心臟休克,隨即轉送心導管室準備心導管檢查手術。
 

因患者心功能不佳,血壓心跳又極不穩定,就由心臟外科吳清文主任先安排葉克膜裝設。隨即由內科部張建榮主任進行心導管檢查並在病患的左前降支冠狀動脈放置了擴張支架。幸運的是原本完全阻塞的冠狀動脈馬上就恢復血流,除了心臟肌肉開始正常收縮外,心臟頻率也立刻回復正常,葉克膜在輔助循環三天後,就順利拆除。轉住普通病房觀察5天後即返家休養。
 

出院後,鍾先生與家人都非常感謝童醫院醫護團隊這次的“神出手”,據鍾先生回憶,這次心跳停止前幾天就覺得全身不適,除了失眠外,還不定時有胸悶狀況,左手臂也有麻麻的感覺,但沒想到這都是心肌梗塞的前兆。當天公司開會業績報告時,就感覺一陣壓力後突然昏倒,失去知覺。

 

童醫院急診部魏智偉主任表示,急診室在接獲救護車通報有疑似心肌梗塞或心血管疾病患者將送到醫院時,就會掌握時間立即準備相關急救設備,通知心臟內外科醫師、手術室與加護病房待命,只有醫療團隊相互合作,爭取時效才能挽救寶貴的生命。

 

童醫院為了讓各類病人得到最即時治療,開始建置使用飛行急診室,將利用5G雲端網路連線,讓在急診室醫師能獲得救護車上病患的完整訊息,在車上就完成檢傷、掛號、問診、心電圖與超音波等工作,當病患抵達本院急診後就可提供最適切的治療處置,所以魏主任再次強調“把握時間就是成功挽救生命的關鍵因素”。
 

心臟外科吳清文主任指出,心臟有三條主要血管:右冠狀動脈、左前降支冠狀動脈與左迴旋支冠狀動脈,任何一條血管被塞住都會造成心臟缺氧,心臟肌肉壞死,而血管堵塞又以左前降支冠狀動脈阻塞最為嚴重。雖然個案OHCA經急救後恢復心跳呼吸,但當時心肺功能與血壓都處於不穩定狀況,必須先進行葉克膜裝設來暫時替代體內心肺功能運作,減少心肺負擔,才可繼續心導管手術治療來打通血管,避免治療過程中反覆心律不整而加重心臟休克。
 

內科部張建榮主任表示,急性心肌梗塞危險因子分為可改變和不可改變兩類,不可改變包括遺傳、年齡及性別,可改變的包括慢性疾病、飲食不當及吸菸。個案因左前降支冠狀動脈完全阻塞,所以出現了急性心肌梗塞猝死情形,為了打通阻塞的動脈就要進行心導管手術來進行氣球擴張並置放金屬支架,但評估患者術前的心肺狀況,先以葉克膜裝設才能避免更多風險產生。
 

延伸閱讀